Correlação entre a Autofluorescência de Fundo e o SD-OCT na Degenerescência Macular Ligada à Idade Exsudativa
DOI:
https://doi.org/10.48560/rspo.7611Palavras-chave:
Degenerescência macular ligada à idade (DMLI), autofluorescência de fundo (FAF), tomografia de coerência óptica spectral domain (SD-OCT), neovascularização coroideia (NVC).Resumo
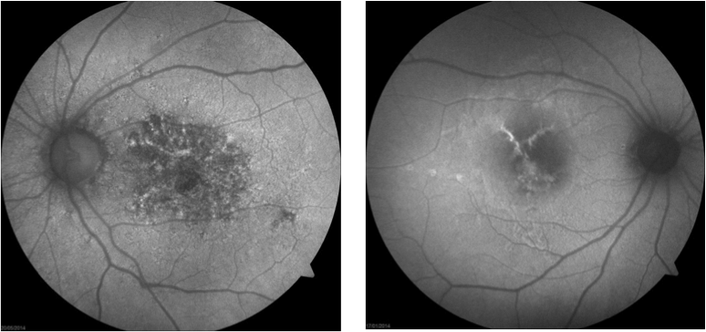
Introdução: Estudos têm mostrado que na degenerescência macular ligada à idade (DMLI) exsudativa uma maior área de alteração do epitélio pigmentar retiniano (EPR) na autofluorescência de fundo (FAF) está associada a perda da acuidade visual (AV). Não existe, no entanto, nenhum estudo realizado nestes doentes que integre as alterações verificadas na FAF com a informação anatómica da tomografia de coerência óptica spectral domain (SD-OCT).
Objectivo: Investigar a correlação entre a FAF e os resultados do SD-OCT em doentes com DMLI exsudativa antes e após o tratamento com bevacizumab intravítreo (IVB) e determinar os factores de prognóstico visual.
Material e Métodos: Estudo retrospectivo, com uma amostra de 24 olhos de 23 doentes com DMLI exsudativa submetidos a IVB como tratamento inicial. Foram avaliados a AV e os resultados da FAF e do SD-OCT antes e após o tratamento. Na FAF foi medida a área de alteração da autofluorescência e o seu padrão foi classificado. No SD-OCT foram avaliados a espessura macular central (EMC), integridade da membrana limitante externa (MLE) e integridade da junção entre o segmento interno e externo dos fotoreceptores (SI/SE).
Resultados: Foram avaliados 24 olhos de 23 doentes com uma média de idade de 74,88±9,18 anos. A AV média pré-IVB foi de 0,86±0,54, na escala logarítmica do ângulo mínimo de resolução (logMAR). Uma maior perda da integridade do SI/SE pré- IVB correlacionou-se com uma maior área de autofluorescência alterada (r=0,57; p<0,05). Os factores pré-IVB associados a melhor AV após o tratamento são menor área de FAF alterada, menor desintegração da MLE e do SI/SE e melhor AV.
Conclusões: A associação da FAF com o SD-OCT em doentes com DMLI exsudativa pode ser útil na avaliação do potencial de recuperação da AV após o tratamento com anti-angiogénicos. Isto é especialmente importante em doentes com DMLI grave, nos quais a integridade da camada de fotoreceptores prévia ao tratamento pode não ser adequadamente avaliada, mesmo com o SD-OCT, podendo a FAF ter um papel relevante.
Downloads
Downloads
Publicado
Como Citar
Edição
Secção
Licença
Não se esqueça de fazer o download do ficheiro da Declaração de Responsabilidade Autoral e Autorização para Publicação e de Conflito de Interesses
O artigo apenas poderá ser submetido com esse dois documentos.
Para obter o ficheiro da Declaração de Responsabilidade Autoral, clique aqui
Para obter o ficheiro de Conflito de Interesses, clique aqui


