Catatonia as Presentation of Creutzfeldt-Jakob Disease: a Case Report
DOI:
https://doi.org/10.25752/psi.6432Keywords:
Catatonia, Creutzfeldt-Jakob Syndrome, Prion DiseasesAbstract
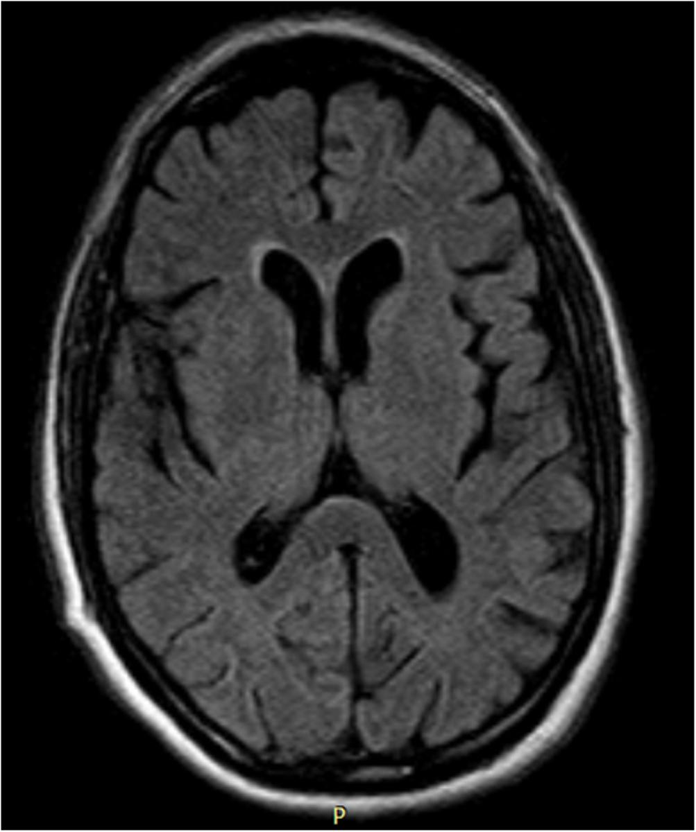
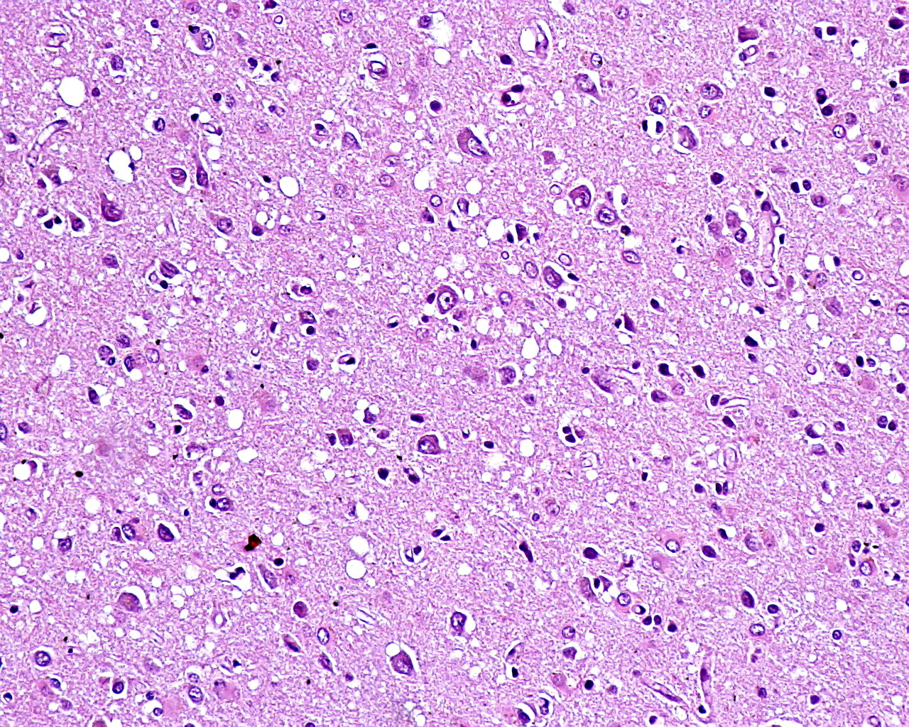
Background: Catatonia is a neuropsychiatric syndrome, classically related to schizophrenia, but more often associated with other psychiatric, neurological and/or metabolic causes.Case Report: A 61-year-old man was admitted in the Psychiatric Department with catatonia of unknown etiology. He was submitted to a detailed investigation including electroencephalogram that revealed triphasic periodic activity and cranial magnetic resonance imaging that revealed brain cortical and subcortical atrophy of frontal and medial temporal predominance. The patient was then transferred to the Neurology Department. An increase of 14.3.3 protein in the cerebrospinal fluid, was detected and a presumptive diagnosis of spongiform encephalopathy was made. The clinical picture worsened with plurisegmental myoclonus, episodes of ocular deviation and dystonia. The patient died after 5 weeks. Anatomopathological examination confirmed the diagnosis of sporadic Creutzfeldt-Jakob disease.
Conclusions: This case report reflects the difficulty in the differential diagnosis of diseases with neuropsychiatric symptoms, particularly of catatonia, and the importance of coordination and multidisciplinary synergy in medicine.
Downloads
Additional Files
Published
Issue
Section
License
Articles are published under the license CC-BY-3.0 by Creative Commons, in full open-access, without any cost or fees of any kind to the author or the reader. In this scheme, the authors retain copyright and grant the journal right of first publication, allowing the free sharing of work, provided it is correctly attributed the authorship and initial publication in this journal. Readers and end-users are allowed to copy, use, distribute, transmit and display the work publicly and to make and distribute derivative works, in any digital medium for any responsible purpose, subject to proper attribution of authorship. The authors are permitted to take on additional contracts separately for non-exclusive distribution of the version of the work published in this journal (eg, post it to an institutional repository or as a book), with an acknowledgment of its initial publication in this journal. Authors are permitted and encouraged to publish and distribute their work online (eg, in institutional repositories or on their website) as it can lead to productive exchanges, as well as increase the impact and citation of published work.