Duodenal Hematoma after upper Gastrointestinal Endoscopy: Case Report and Literature Review

Autores

  • Marta Reis Sousa CHEDV
  • Ana Catarina Vieira
  • Gisela Rio
  • Angela Moreira Centro Hospitalar Universitário de Coimbra- Hospital pediátrico
  • Maria José Noruegas Centro Hospitalar Universitário de Coimbra- Hospital pediátrico
  • Conceição Sanches Centro Hospitalar e Universitário de Coimbra – Hospital Pediátrico

DOI:

https://doi.org/10.25748/arp.12667

Resumo

Duodenal hematoma is a rare complication of endoscopic duodenal biopsy, with just a few cases reported in children in the literature available.
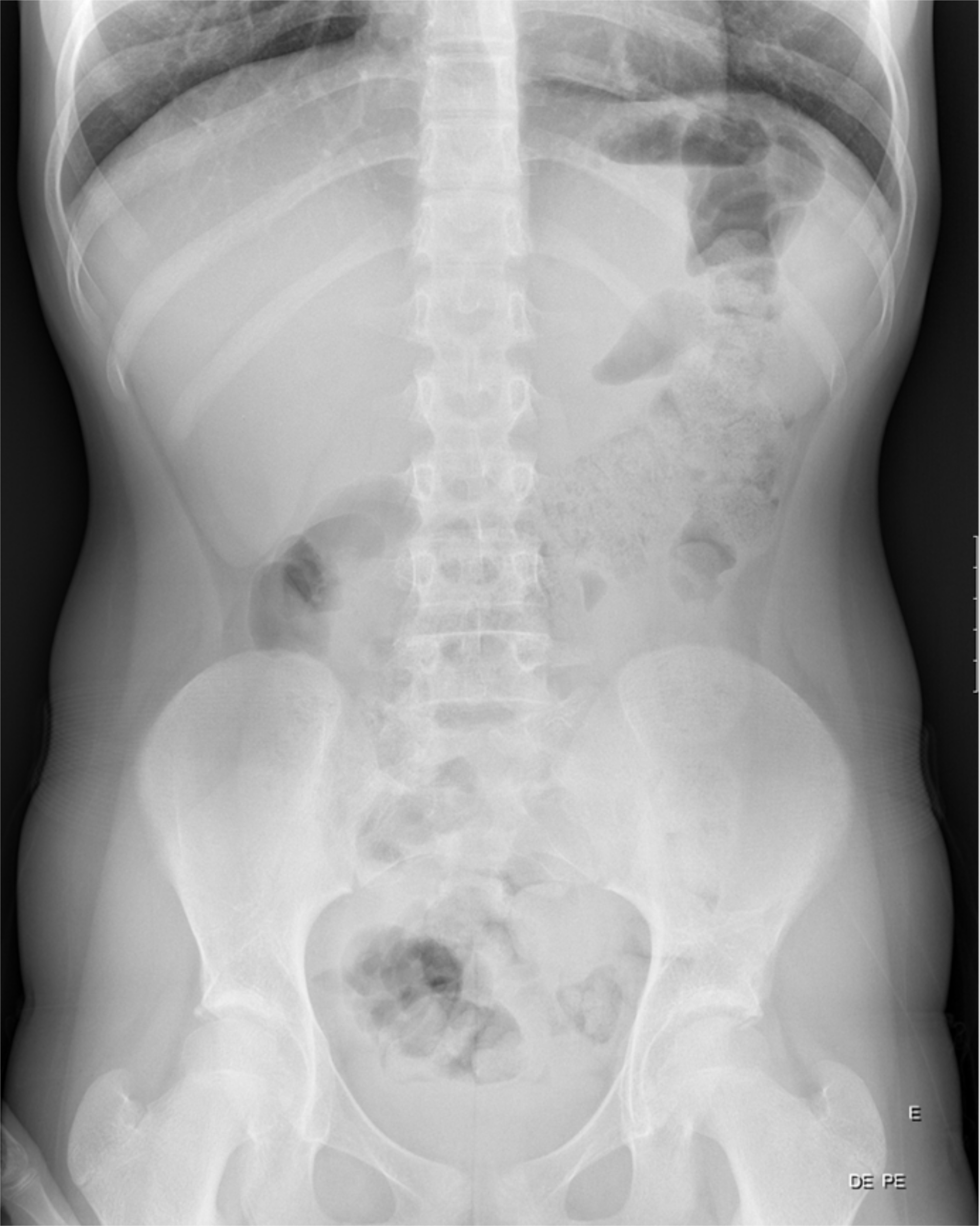
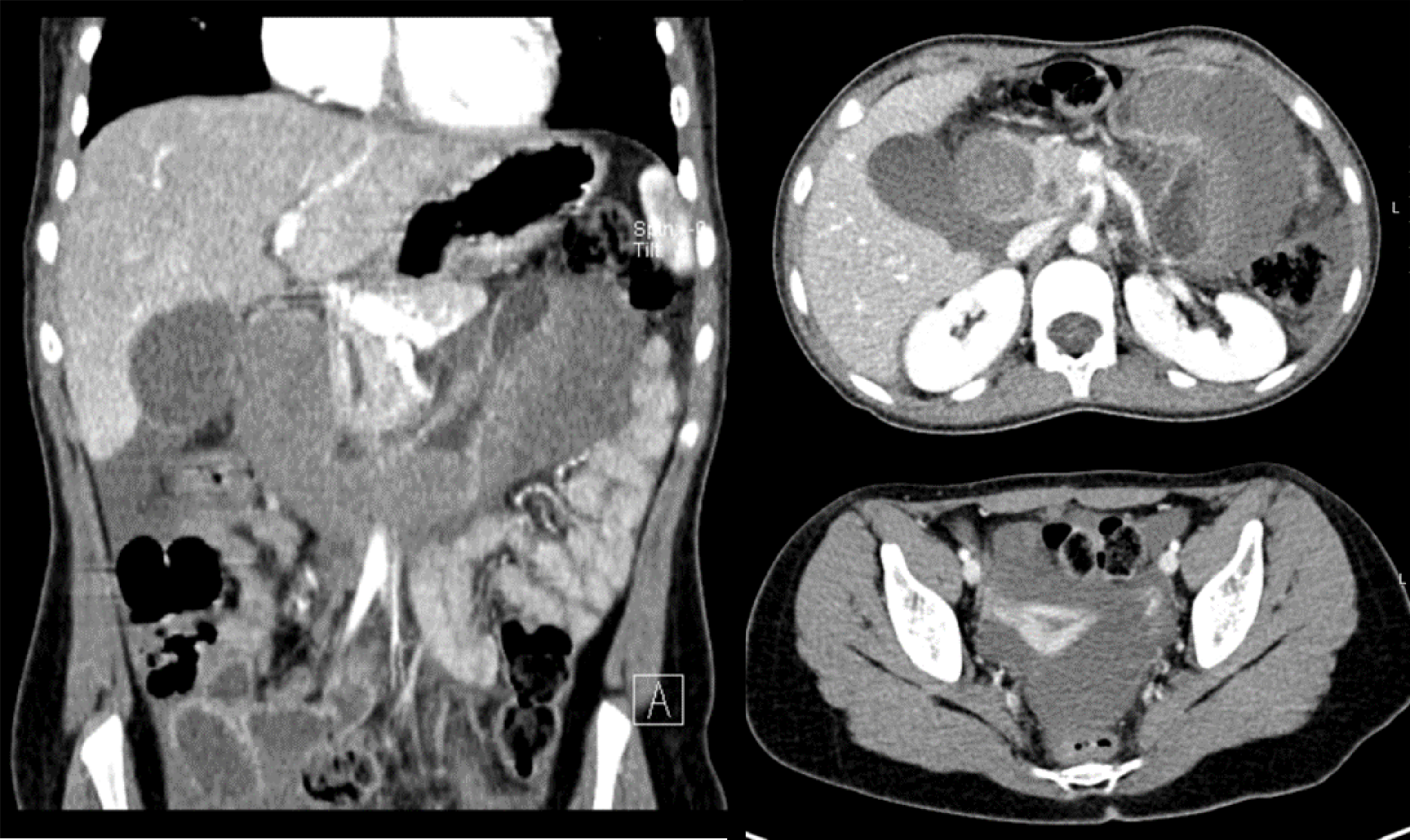
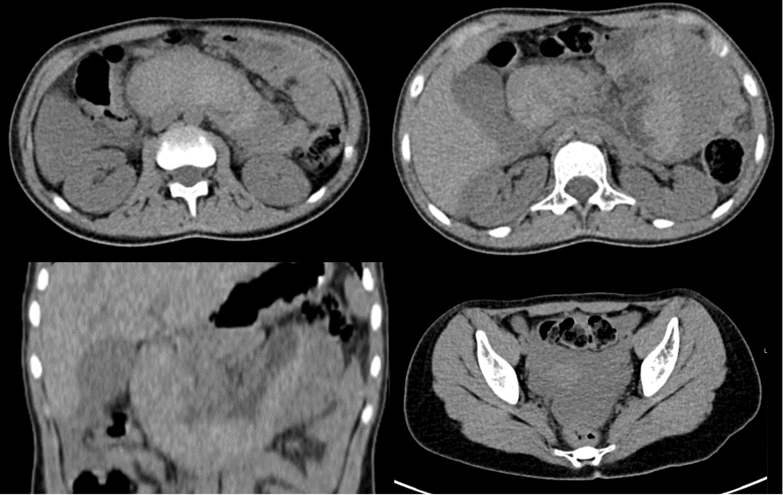
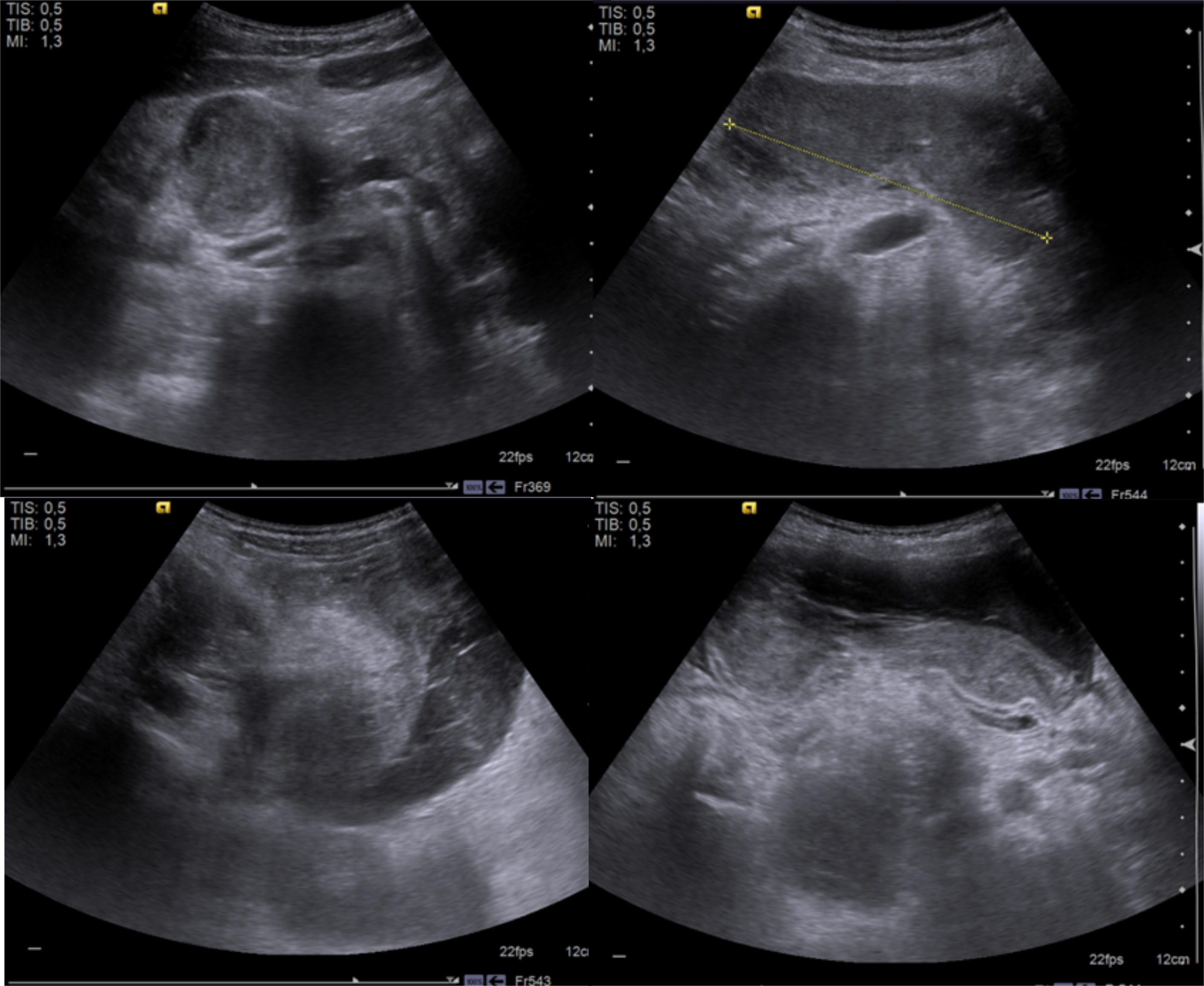
The authors present a case of a 13 year-old girl, with a history of Noonan Syndrome and neurofibromatosis type 1, who presented abdominal pain and vomiting after an endoscopic duodenal biopsy.
In this article, we describe the clinical case, imaging findings, evolution and therapeutic approach.
We briefly discuss the hematologic complications in patients with Noonan syndrome.
A review of the literature and data from similar cases reported are briefly presented and discussed.

Biografia Autor

Marta Reis Sousa, CHEDV

Interna de Radiologia, Centro Hospitalar Entre o Douro e Vouga

Referências

Grasshof C, Wolf A, Neuwirth F, Posovszky C. Intramural Duodenal Haematoma after Endoscopic Biopsy: Case Report and Review of the Literature. Case Reports in Gastroenterology. 2012;6(1):5-14.

Borsaru AD, Nandurkar D. Intramural duodenal haematoma presenting as a complication after endoscopic biopsy. Australas Radiol. 2007;51:378–380.

Diniz-Santos DR, de Andrade Cairo RC, Braga H, Araújo-Neto C, Paes IB, Silva LR. Duodenal hematoma following endoscopic duodenal biopsy: A case report and review of the literature. Can J of Gastroenterol. 2006;20(1):39-42.

Ghishan FK, Werner M, Vieira P, Kuttesch J, DeHaro R. Intramural duodenal hematoma: an unusual complication of endoscopic small bowel biopsy. Am J Gastroenterol. 1987;82:368–370.

Sgouros SN, Karamanolis G, Papadopoulou E, Papageorgiou G, Stefanides G, Nastos H, Mantides A. Postbiopsy intramural hematoma of the duodenum in an adult with Noonan's syndrome. J Gastroenterol Hepatol. 2004;19:1217–1219.

Leva E, MAcchini F, Cesare A, Arnoldi R, Gentilino V. Duodenal Hematoma and Pancreatitis Complicating Endoscopic Intestinal Biopsy in a Boy with Noonan Syndrome. J Trauma Treatment 2012.

Shiozawa K, Watanabe M, Igarashi Y, Matsukiyo Y, Matsui T, Sumino Y. Acute pancreatitis secondary to intramural duodenal hematoma: Case report and literature review. World J Radiol. 2010 Jul 28; 2(7): 283–288.

Publicado

2018-05-03

Edição

Secção

Casos Clínicos