Pharyngeal hairy polyp causing respiratory distress in neonate – a case report

Autores

  • Maria Ana Serrado

DOI:

https://doi.org/10.25748/arp.12018

Resumo

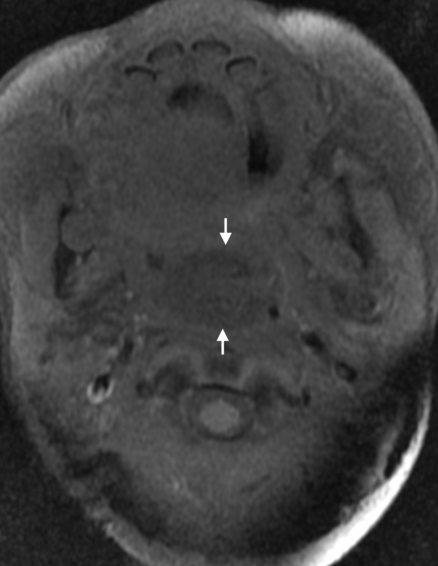
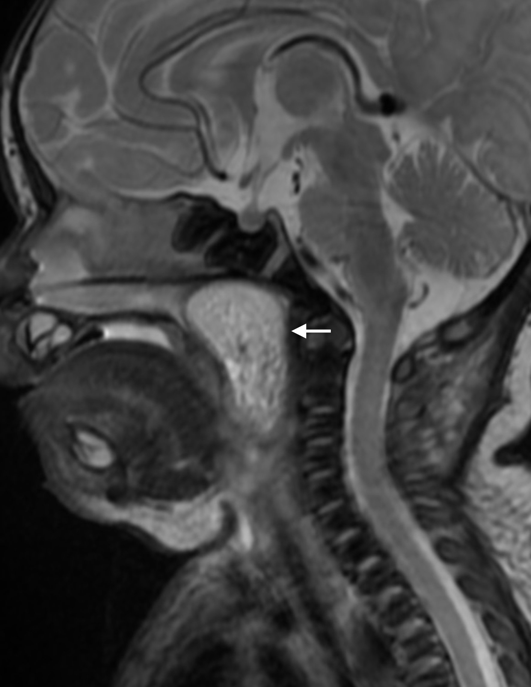
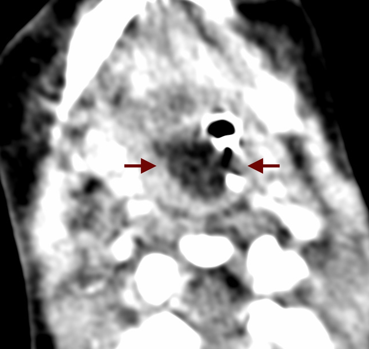
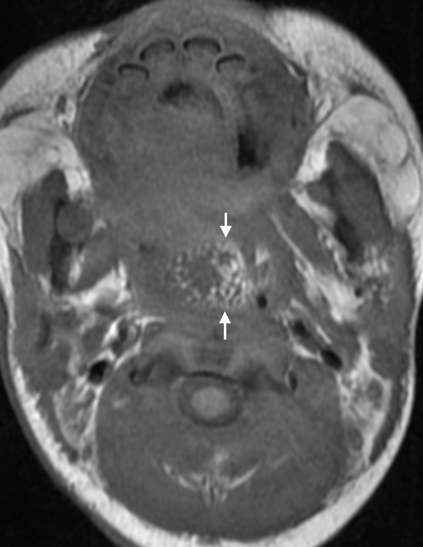
Pharyngeal hairy polyps are rare lesions that arise from the nasopharynx or oropharynx. It occurs predominately in females, with predilection for the left side. Its etiology remains poorly understood. It typically presents in the neonatal period with respiratory distress and feeding difficulties. Imaging is fundamental to identify the high fat content of the lesion. Surgical resection is the treatment of choice. We report a case of a nasopharyngeal hairy polyp causing respiratory distress since birth.

Downloads

Publicado

2017-12-22

Edição

Secção

Casos Clínicos