MIOPIA PATOLÓGICA – novos conceitos e achados OCT
DOI:
https://doi.org/10.48560/rspo.7070Palavras-chave:
Miopia patológica, OCT, Foveosquisis, Cavitação, Distorção MacularResumo
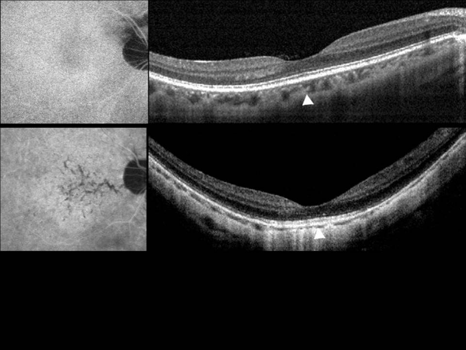
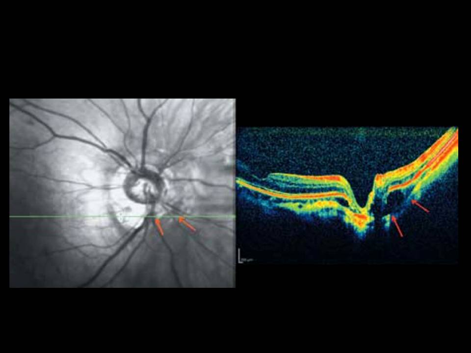
A miopia patológica é uma causa importante de cegueira, com prevalência crescente nos países desenvolvidos e em idades progressivamente mais jovens. É-lhe tradicionalmente atribuída uma forte componente genética, reconhecendo-se hoje fatores ambientais que podem limitar a sua progressão. Embora em muitos casos o agravamento da acuidade visual fosse atribuído à presença de neovascularização coroideia, descolamento de retina ou desenvolvimento de buraco macular, noutros esta progressão permanece por explicar. Novas técnicas de tomografia por coerência óptica permitiram recentemente a descoberta de entidades patológicas relacionadas com a maculopatia miópica, que abrem portas ao avanço na compreensão fisiopatológica da doença e na sua abordagem terapêutica, particularmente cirúrgica. Salientam-se os fenómenos de foveosquisis miópica, cavitação intracoroideia, tração vítrea paravascular (com formação de quistos, micropregas e defeitos lamelares) e fenómenos de distorção macular que revemos neste trabalho.
Downloads
Downloads
Ficheiros Adicionais
Publicado
Como Citar
Edição
Secção
Licença
Não se esqueça de fazer o download do ficheiro da Declaração de Responsabilidade Autoral e Autorização para Publicação e de Conflito de Interesses
O artigo apenas poderá ser submetido com esse dois documentos.
Para obter o ficheiro da Declaração de Responsabilidade Autoral, clique aqui
Para obter o ficheiro de Conflito de Interesses, clique aqui


