Unusual bilateral retinitis secondary to Rickettsia conorii infection
DOI:
https://doi.org/10.48560/rspo.7166Palavras-chave:
Rickettsia, conorii, uveitis, retinitis, rashResumo
Summary
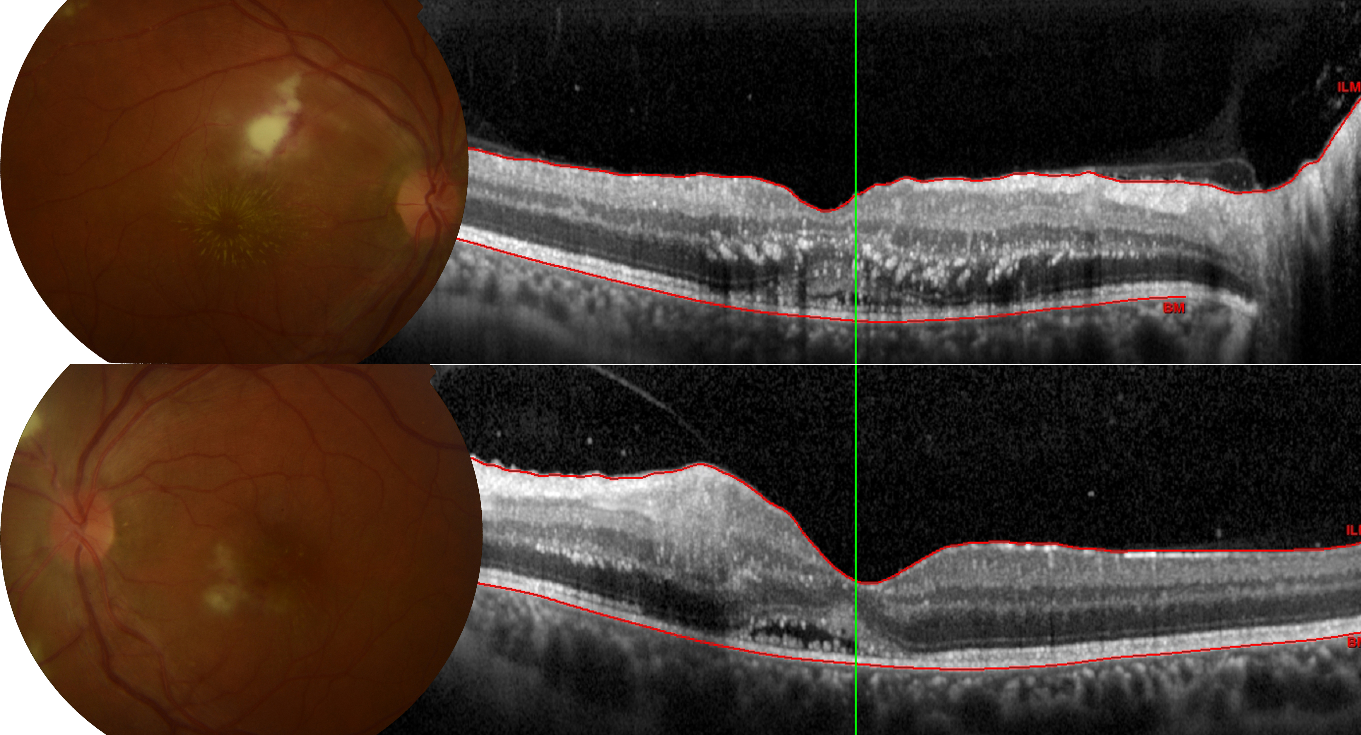
Retinitis can be caused by a number of reasons, namely infectious or autoimmune, and the correct diagnosis is fundamental in order to provide the best treatment and to prevent irreversible visual loss. We report a case of a young healthy man who presented with bilateral multifocal retinitis with perilesional vascular involvement following a febrile period and a cutaneous rash. Despite some initial pitfalls, a diagnosis of Rickettsia conorii was finally made and appropriate treatment was provided. To our knowledge, this is one of the few reported cases of posterior uveitis due to rickettsiosis in which rare ocular complications are seen, including bilateral macular edema with foveal detachment and macular star development, and in which treatment with systemic corticosteroids was provided due to sight-threatening lesions.
Key-words: Rickettsia, conorii, uveitis, retinitis, rash
Resumo
Um quadro de retinite pode ter diversas causas, nomeadamente infecciosas ou auto-imunes, sendo o diagnóstico correcto fundamental para o melhor tratamento e prevenção de perda visual irreversível. Comunicamos o caso de um homem saudável que se apresentou com um quadro de retinite bilateral multifocal com envolvimento vascular perilesional após um período febril e exantema cutâneo. Após algumas dificuldades iniciais, o diagnóstico de infecção por Rickettsia conorii foi estabelecido e administrado o devido tratamento. Para o nosso conhecimento, este é um dos poucos casos publicados de uveíte posterior secundária a rickettsiose no qual se verificaram complicações oculares raras, incluindo edema macular bilateral com descolamento neurossensorial da fóvea e desenvolvimento de estrela macular, e para as quais se recorreu também a corticoterapia sistémica devido ao risco elevado de perda visual.
Palavras-chave: Rickettsia, conorii, uveíte, retinite, rash
Downloads
Downloads
Ficheiros Adicionais
Publicado
Como Citar
Edição
Secção
Licença
Não se esqueça de fazer o download do ficheiro da Declaração de Responsabilidade Autoral e Autorização para Publicação e de Conflito de Interesses
O artigo apenas poderá ser submetido com esse dois documentos.
Para obter o ficheiro da Declaração de Responsabilidade Autoral, clique aqui
Para obter o ficheiro de Conflito de Interesses, clique aqui


